Fundus Otofloresansı
- Ana Sayfa
- Fundus Otofloresansı
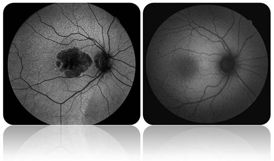
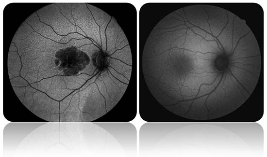
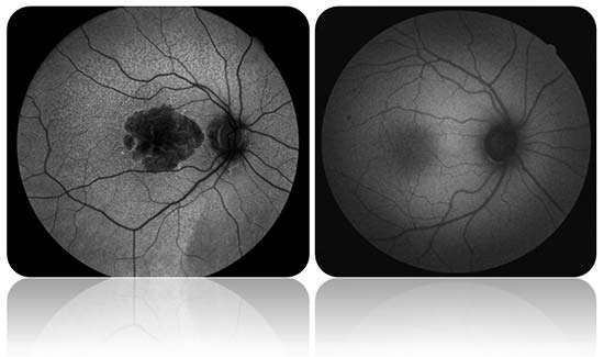
Fundus Otofloresansı
Optik sinir ve bazı retina hastalıklarında tanı koymak için yapılan özel bir fotoğraf çekim yöntemidir. Hastaların göz bebekleri damlalar yardımı ile genişletildikten sonra fotoğraf çeken özel cihazlar yardımı ile retinanın ve göz sinirinin fotoğrafları çekilerek özellikle retinanın en alt tabakası olan pigment epitelyum tabakasındaki değişiklikleri saptama ve seyrini takip etmekte kullanılır.
