Santral Seröz Retinopati
- Ana Sayfa
- Santral Seröz Retinopati
Santral Seröz Retinopati
SANTRAL SERÖZ RETİNOPATİ (SSR) NEDİR?
Retina göz küresinin içinde, 0,3 mm kalınlığı olan ve altındaki dokuya yapışık ve ışığa hassas olan tabakadır. Retina ışığı işleyerek elektrik sinyali haline getirir ve bu sinyal optik sinir yolu ile beyine iletilir. İyi bir görme için sağlıklı bir retina gereklidir.
Retina altında gözün ikinci tabakası olan koroidea tabakası vardır. Koroidea tabakası vücudun damardan en zengin tabakasıdır. Damardan zengin koroidea ile retina arasında sıvı kaçağını önleyen ve iki önemli tabakayı ayıran retina pigment epiteli tabakası vardır.
Retinanın düzgün çalışabilmesi için altında sıvı olmaması gereklidir. Santral seröz retinopatide koroidea tabakasındaki sıvı önce retina pigment epitelinin altında sonra da retina tabakasının altında birikir. Retina yapışık olduğu bölgeden ayrılır. Retina altında biriken sıvı görme yeteneğini ve kalitesini azaltır.
SANTRAL SERÖZ RETİNOPATİ BULGULARI (SEMPTOMLARI) NELERDİR?
Santral seröz retinopatide bulanık ve yamuk görme vardır. Merkezde kör noktalar oluşabilir. Ayrıca cisimler olduğundan daha küçük ve uzaktaymış gibi görülebilir. Renkler daha soluktur.
SANTRAL SERÖZ RETİNOPATİ KİMLERDE DAHA ÇOK GÖRÜLÜR?
Santral seröz retinopati erkeklerde daha çok görülen bir hastalıktır. Stresin temel risk faktörü olduğu düşünülmektedir. Kortizonlu ilaçların, aşırı kafein alınmasının ve hipertansiyonun da santral seröz retinopati riskini arttırdığı bilinmektedir.
SSR TANISI NASIL KONULUR?
Santral seröz retinopati tanısını koymak için ayrıntılı göz ve retina muayenesi yapılmalıdır. Önce rutin bir göz muayenesi yapılır. Daha sonra göz bebeği genişletilerek ayrıntılı bir retina muayenesi yapılır.
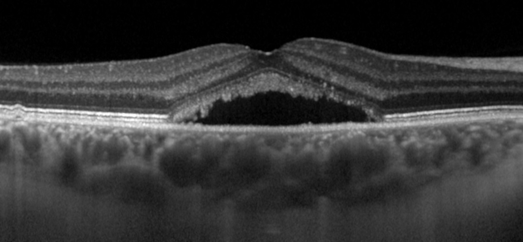
Retina muayenesi sırasında santral seröz retinopatiden şüphelenilirse göz arkası (fundus) fotoğrafı ve optik kohorens tomografi (OCT) çekilir. Optik koherens tomografi (OCT), gözün arkasını kaplayan ışığa duyarlı doku olan retinanın kesit resimlerini çekmek üzere ışık dalgalarının kullanıldığı girişimsel olmayan bir görüntüleme tekniğidir. OCT yoluyla retinanın her bir tabakası görülür ve tabakaların kalınlıkları haritalanıp ölçülür. Santral Seröz retinopatide retina altında veya retina pigment epitelinin altında sıvı biriktiği görülür.
OCT yapıldıktan sonra göz doktoru ayrıca Fundus Floresein Anjiyografi (FFA) isteyebilir. FFA da koldan floresein boyası enjekte edilir. Bu boya 10-15 saniye sonra göz damarlarına gelir ve gözde anormal damarlar ve göllenmeler olan bölgeler görünür hale gelir.
SANTRAL SERÖZ RETİNOPATİ NASIL TEDAVİ EDİLİYOR?
Santral seröz retinopati (ssr) birkaç ayda kendiliğinden veya ilaç tedavisi ile düzelir. Göz doktoru takipler ile sıvının azalıp azalmadığını izler. Sıvı 3-4 ayda kaybolmaz ise laser tedavisi veya fotodinamik tedavi yapılır. Hastaların en az yarısında hastalık tekrarlar. Hastalık kalıcı görme azalması yapabilir.
Retina altındaki sıvının kaybolup kaybolmadığı mutlaka düzenli aralıklar ile izlenmelidir. Sıvı devam eden hastalara gerekli tedaviler zamanında yapılmalıdır.