Vitreomaküler Traksiyon
- Ana Sayfa
- Vitreomaküler Traksiyon
Vitreomaküler Traksiyon nedir ?
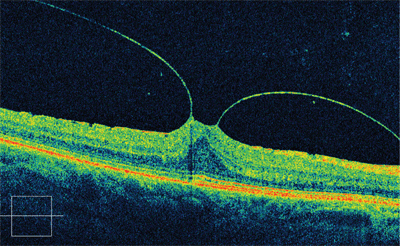
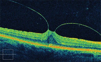
Diabetik maküla ödeminin patogenezinde suçlanan faktörlerden biri de anormal vitreustur. Arka hyaloid soyulması ile birlikte vitrektomi cerrahisinin, maküla üzerindeki traksiyonu rahatlatarak ödemi tedavi ettiği gösterilmiştir. OCT maküla üzerindeki traksiyonun gösterilmesinde oldukça yardımcı bir yöntemdir.
Retina gözün iç duvarına yaslanmış ince bir dokudur. Makula retinanın ortasında küçük bir alandır Makula retinanın en duyarlı parçasıdır. okuma ve ayrıntılı görsel görevleri yapmak için gerekli görsel bilgileri makuladan alırız. Yaşımız ilerledikçe göz küremizi dolduran vitreus jeli küçülür ve büzüşerek makuladan uzaklaşır. Bazen vitreus makuladan uzaklaşırken kısmen yapışık kalarak makulada çekintiye neden olur. Bu çekinti ve normal maküler yapının bozulmasına vitreomaküler traksiyon denir.
