İndosiyanin Yeşili Anjiografisi
- Ana Sayfa
- İndosiyanin Yeşili Anjiografisi
İndosiyanin Yeşili Anjiografisi
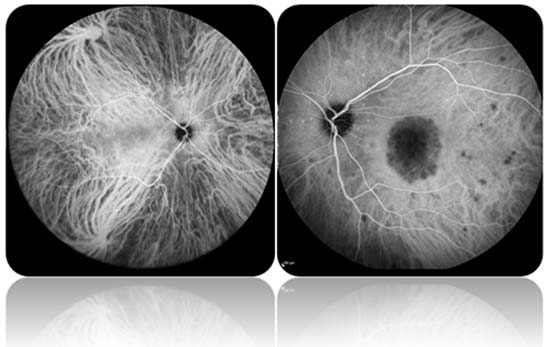
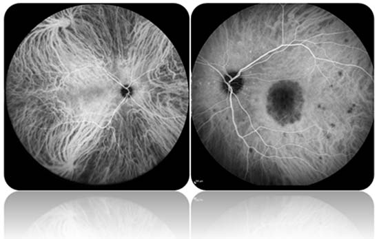
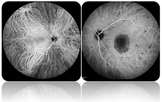
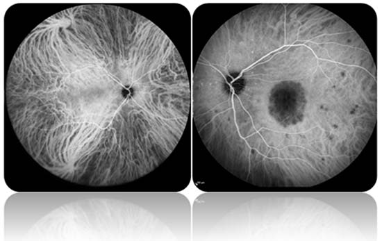
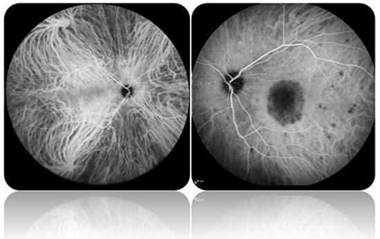
Koroid, retina altındaki damarlardan zengin tabakadır. İndosiyanin yeşili anjiografisi, göz bebekleri damlalar yardımı ile büyütüldükten sonra indosiyanin boyasının kol toplardamarlarından birine verilmesi sonrasında özellikle koroid ve aynı zamanda retinanın damarsal yapısının görüntülenmesi işlemidir.
Fotoğraflar ilk dakikada çekilmeye başlanır ve 30 dakika sonrasını da kapsayan kayıtlar alınır. Gebelerde ve iyot alerjisi olanlar da uygulanmaz. Çok nadiren ilaca karşı oluşan allerjik reaksiyonlara bağlı ciddi yan etkiler olabilir.