Retina Fotografisi
- Ana Sayfa
- Retina Fotografisi
Retina Fotografisi
Retina fotografisi; optik sinir, makula, periferik retina, retina damarları gibi göz dibine ait yapıların durumlarını renkli olarak göstermeye, kayıt altına almaya ve bu verileri daha sonra hastaların takibinde kullanmaya imkan veren bir kayıt ve görüntüleme yöntemidir. Makula hastalıkları, diyabetik retinopati ve glokom gibi sık görülen göz hastalıkların takiplerinde ve hastalara bilgi vermek amacıyla bu görüntüleme yönteminden sıkça yararlanılmaktadır.
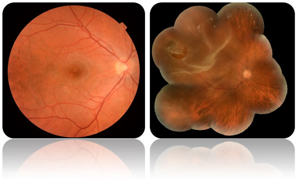
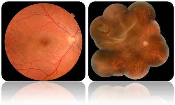
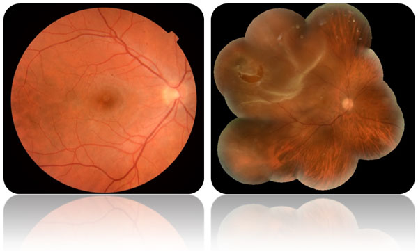
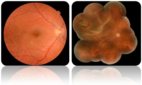
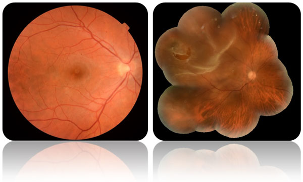
Şekil 1: Solda sağlıklı bir bireyin, sağda retina dekolmanı tanılı bir olgunun arka segment görünümü izlenmekte.